Triominos

Classic Board Game

Experience the timeless Triominos adventure on your mobile device. A classic board game brought to life with modern mobile technology.

Mobile Classic Board Game

Ali Hood

Action Game

An action-packed mobile game featuring stunning graphics and engaging gameplay. Experience an adventure like no other with beautiful visuals and immersive mechanics.

Action Graphics Mobile

CJOrtho

Medical Application

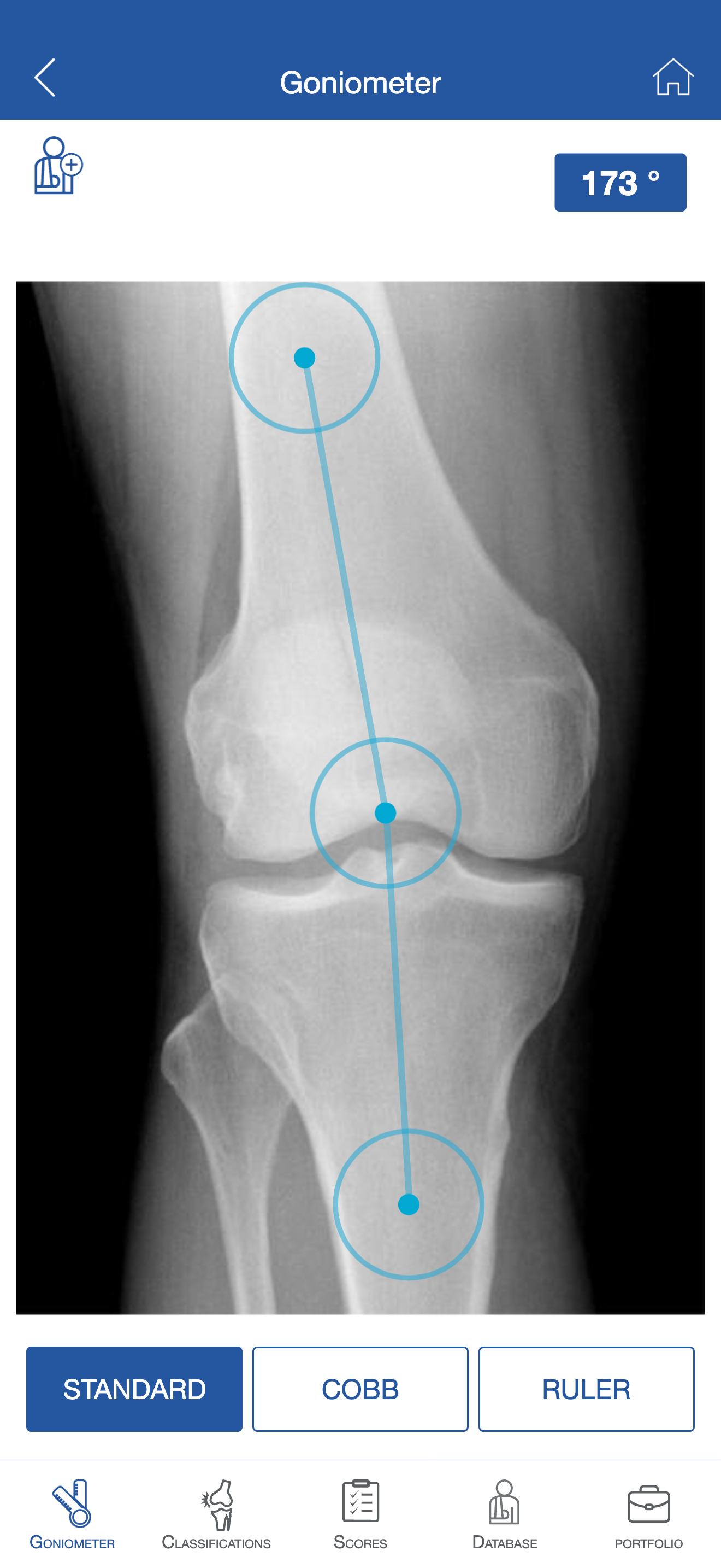
An application for orthopedic surgeons and health professionals treating musculoskeletal disorders. Developed by the College of Young Orthopedists, it provides decision support and patient management tools, including classifications, clinical scores, goniometer, patient database, and surgical portfolio tracking.

Medical Healthcare Mobile

Quadrus

Strategy Board Game

A pure strategy game where players compete to place all their pieces on the board. Features multiple game modes including fast-paced duo matches and intensive classic games for 2-4 players.

iOS Strategy Multiplayer
Ultimate Othello

Ultimate Othello

Strategy Board Game

The classic Othello game reimagined for mobile. Challenge yourself or play against friends in this timeless strategy game.

Strategy Multiplayer Classic
VIPCare

VIPCare

Beauty & Wellness Service

Beauty and wellness services at home and in the workplace. Offering hairdressing, manicure, makeup, massage, wedding services, and sports coaching.

Beauty Wellness Mobile
Flobopop

Flobopop

Entertainment Game

A fun and engaging mobile game with colorful characters and exciting gameplay mechanics.

Mobile Entertainment Casual
AJCR

AJCR

Research Application

Research and data management platform for academic and clinical research projects.

Research Data Management Mobile

Baby Goo

Puzzle Game

An engaging puzzle game designed for iPad. Solve challenging puzzles and enjoy hours of fun gameplay.

iOS iPad Puzzle
Salsa Jeans

Salsa Jeans

Retail Application

Custom business application for retail management and customer engagement.

Retail Business Mobile

Our Mobile Development Expertise

We bring years of experience in mobile app development, from concept to launch and beyond.

iOS Development

Native iOS apps built with Swift and Objective-C, optimized for all Apple devices.

Android Development

Native Android applications using Kotlin and Java, following Material Design principles.

UI/UX Design

Beautiful, intuitive interfaces that enhance user experience and drive engagement.

Have an App Idea?

Let's discuss how we can bring your mobile app vision to life.

Get In Touch